矯正日記
TREATMENT DIARY
CLOSE
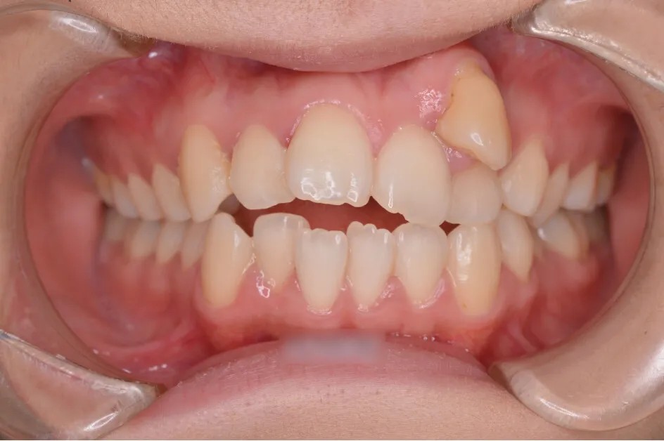
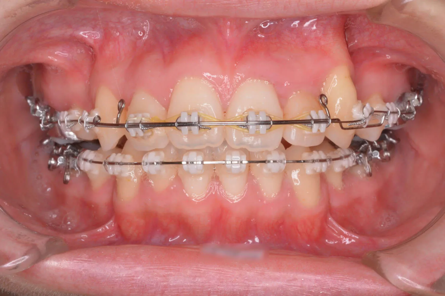
日記001
裏側の装置を装着しました。
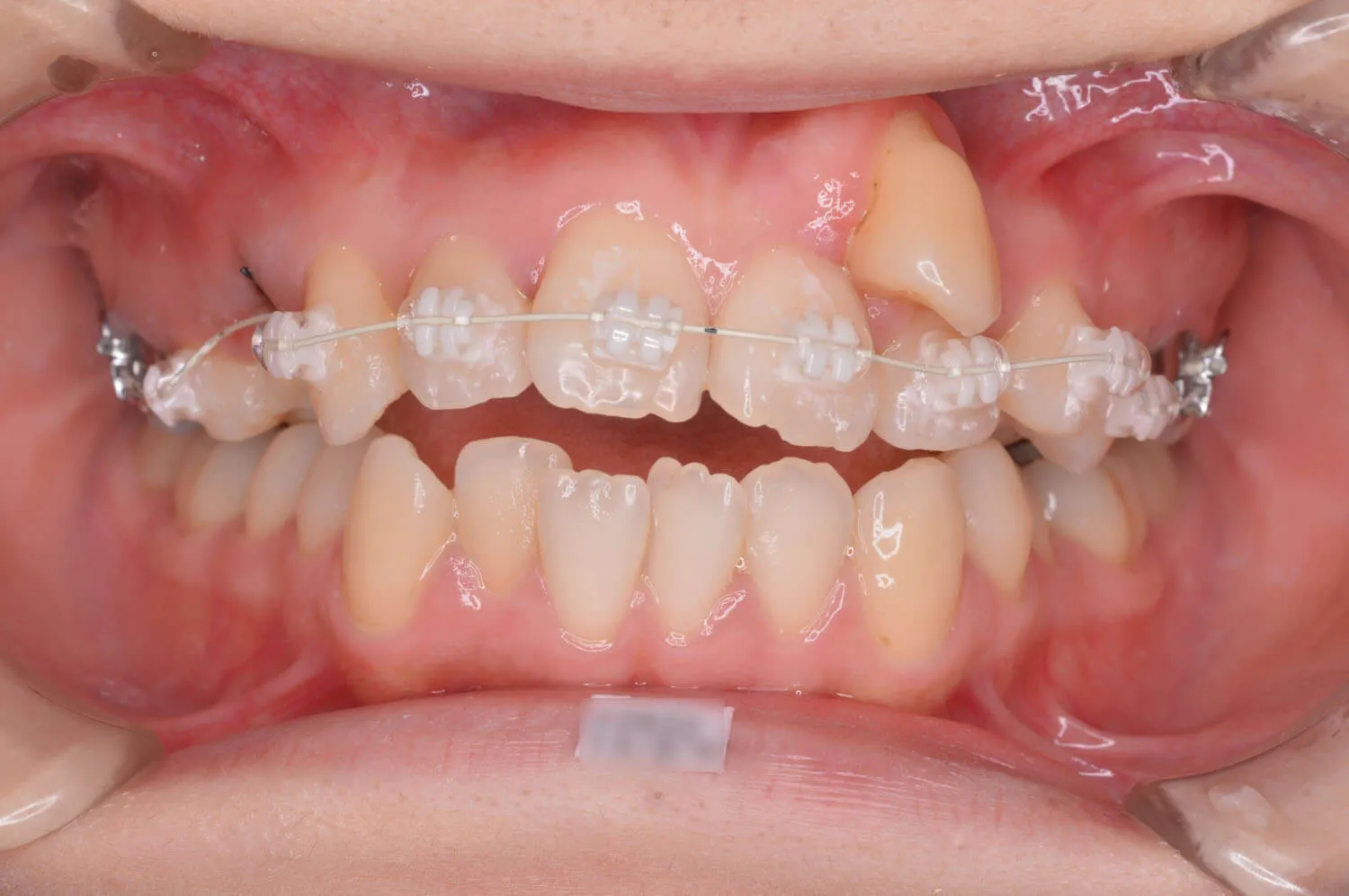
ブラケット装置が装着されました。
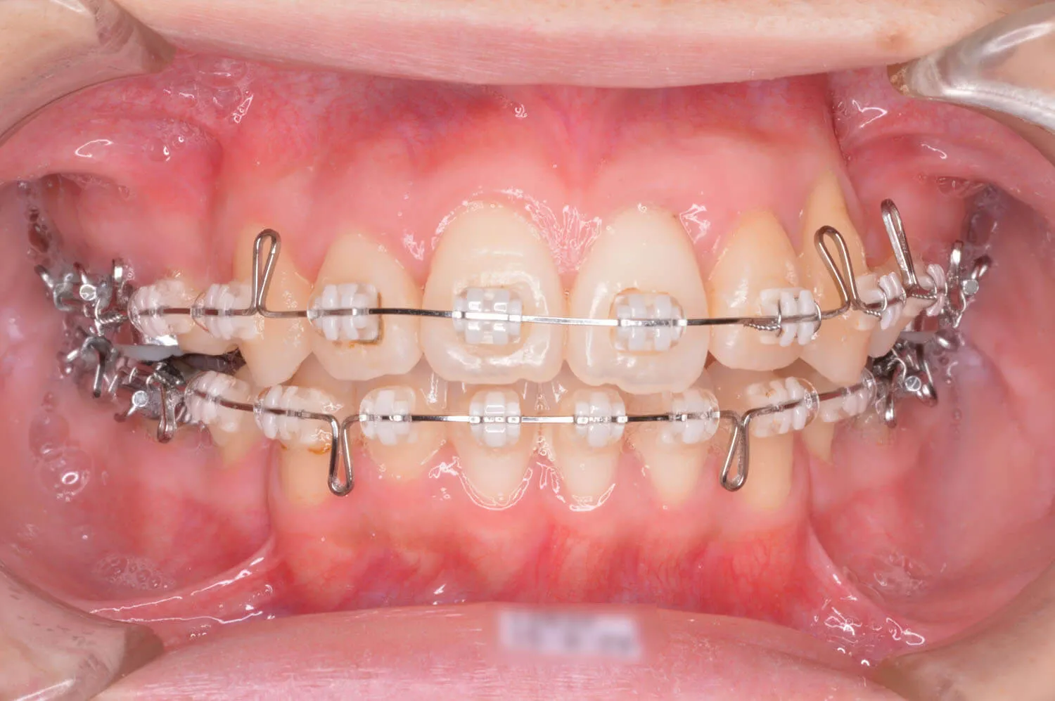
犬歯のけん引をはじめました。
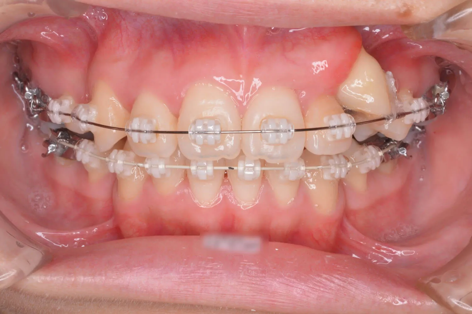
犬歯の位置が変わってきました。
犬歯が歯列に並んできました。
左上の糸切り歯が完全に歯列に並びました。
開咬状態も改善されてきました。
| 厚生省ガイドラインに基づく症例情報 | |
|---|---|
| 主訴 | 八重歯・歯のずれ |
| 初診時年齢 | 25歳11カ月 |
| 装置名 | マルチブラケット |
| 抜歯 | 上下顎小臼歯抜歯 |
| 治療期間 | 4年 |
| 費用の目安 | 63万円 |
| ◎リスク副作用 | 詳しくはこちら |